Adults
BEFORE - Deep bite case with crowded teeth and an increased gap between upper and lower teeth.
AFTER - Treated non-extraction using upper and lower metal fixed braces and a TAD to move upper teeth backwards.
BEFORE - Crowded deep bite case.
AFTER - Treated with ceramic braces and an appliance to move the molars back.
BEFORE - Adult case with open bite and an increased gap between upper and lower teeth.
AFTER - Treated with metal braces and TADs to close the gap between the teeth.
BEFORE - Adult case with narrow top jaw and shift of jaw to the left.
AFTER - Case widened with TAD expander and ceramic braces to finish case. Prosthodontics courtesy of Dr A. Moorthy.
BEFORE - Crowded case in upper and lower.
AFTER - Treated non-extraction with lingual braces.
Early Intervention
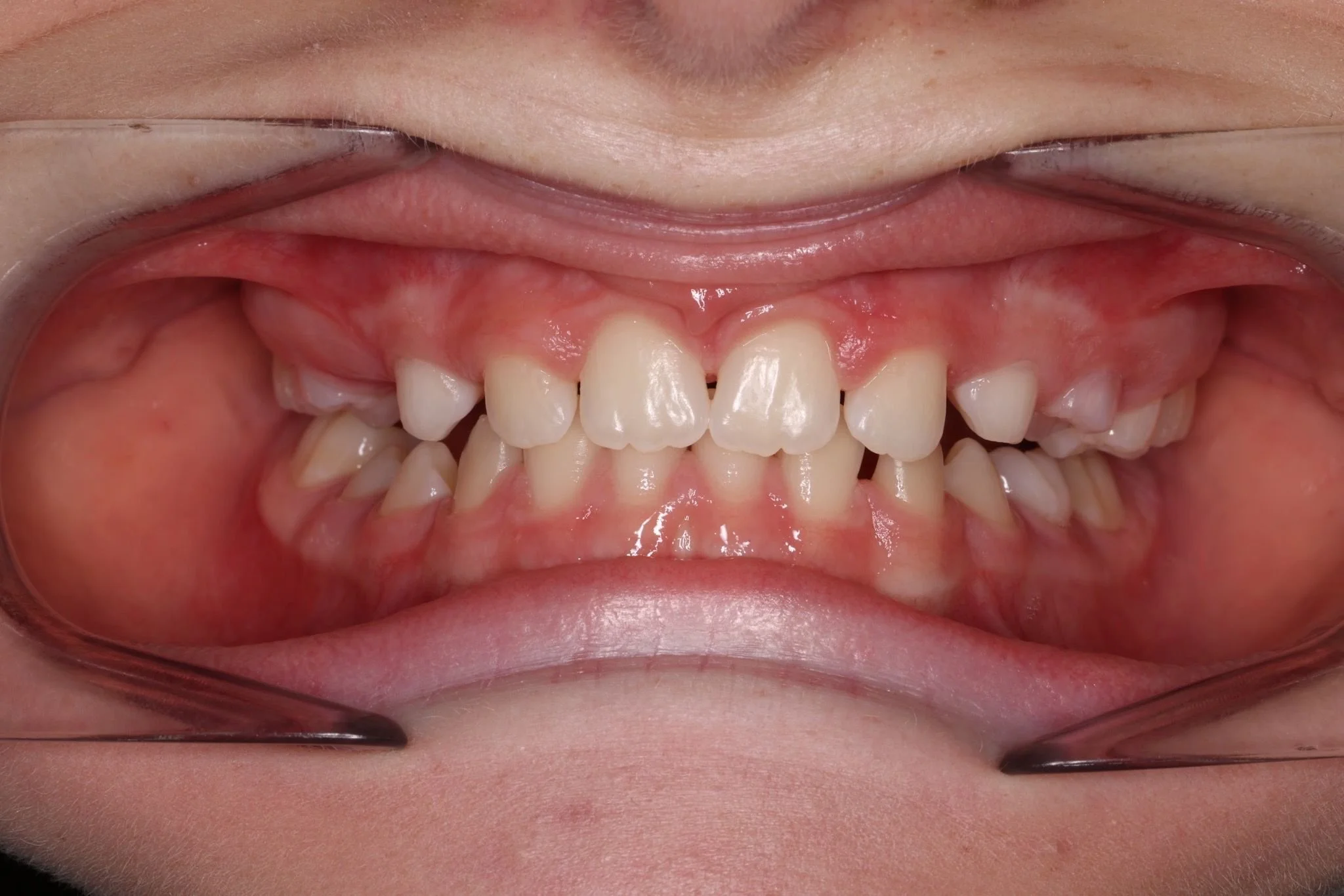
BEFORE - Severely crowded case with blocked out incisor.
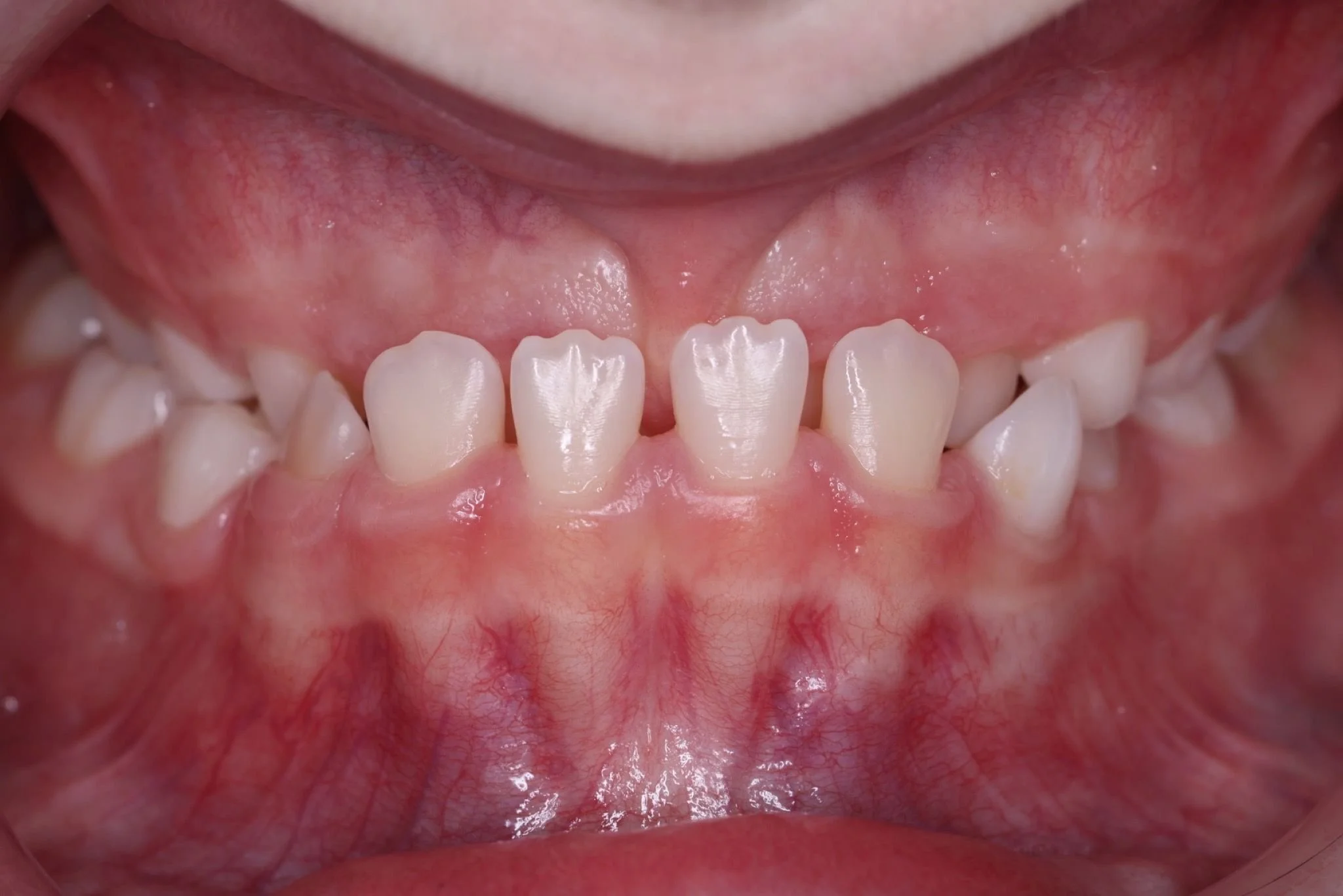
AFTER - RME to expand upper jaw and allow teeth to grow by creating space then applying braces to straighten.
BEFORE - A crowded case with a narrow upper jaw.
AFTER: RME to increase size of upper jaw allowing teeth to move naturally into a better position.
BEFORE: Narrow crowded top jaw with shift of jaw to right.
AFTER - Case treated with expander and metal fixed braces.
BEFORE - A narrow upper jaw with a lateral incisor blocked out.
AFTER - Relief of overcrowding using RME to encourage the growth of the upper jaw.
Case Study
Teens
BEFORE - Crowded deep bite case with extracted lower canine and supernumerary (extra tooth buried in jaws).
AFTER - Teated with an appliance to move the molars back and upper and lower fixed braces.
BEFORE - Deep bite case with severe crowding in the upper jaw with blocked out teeth.
AFTER - Extraction of two upper teeth with upper and lower fixed braces.
BEFORE - Severely crowded case.
AFTER - Treated with extractions of premolar teeth and upper and lower metal fixed braces.
BEFORE - Case with crowding, crossbite and gaps.
AFTER - Treated non-extraction with ceramic fixed braces.
BEFORE - Deep bite case with impacted canine.
AFTER - A case treated with upper and lower metal fixed braces.

